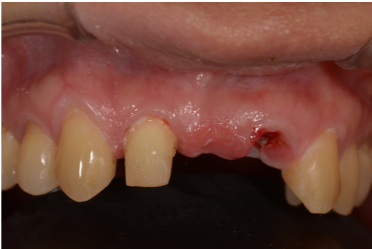
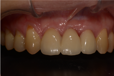
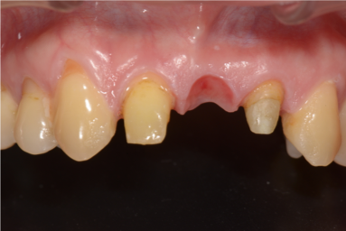
前牙美學除了追求假牙的型態,顏色,排列外,這些需要技師高度配合,若是軟組織的牙肉缺損或骨缺損,必須要先軟組織精準增厚後,才可能製作完美假牙,顯微牙周手術除了顯微鏡外,需要特殊顯微手術器械和7-0以上縫線,所以顯微手術是需要高度技術配合。