診療項目
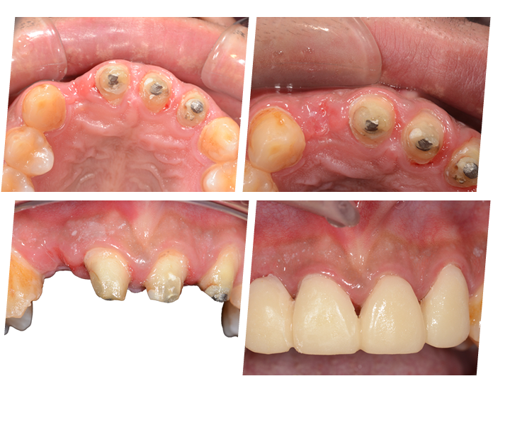
東方人前牙齒槽骨及牙肉不同於西方人種,最大特徵是骨骼缺損和牙肉不足造成影響美觀,於是前牙植牙必須謹慎評估,術前的補骨手術或拔牙窩洞的補骨保存牙床,以及術後的補肉手術。

補骨手術(hard tisssue augamentation)
補骨手術最主要目的是讓植體能成功骨整合,延長植體的壽命的目標。
本院採用最昂貴的骨粉 Bioss ,幾乎目前許多論文研究都建議使用Bioss進行植牙補骨手術,
而且還必須配合再生膜(membrane)的應用才能發揮Bioss的補骨效果。

補肉手術(soft tissue augmentation)
當植體附近發生骨吸收,若嚴重時會有植體外露引起發炎的危險,產生所謂植體周圍炎 ,所以補肉或補皮手術是經常應用在植牙手術,以保護植體周圍組織抵抗食物的咬合力,保護植體周圍骨頭,最常是取上顎的牙肉(CTF)來增厚植體的牙周組織,達到保護植體的目標。




