專欄分享
首頁 > 專欄分享診療項目
2015-12-01
顯微牙周病治療(二)Micro-subgingival scaling ...... |
|
2015-11-11
顯微陶瓷貼片(二)技師完成陶瓷貼片必需經複雜步驟黏著步驟:牙齒表面噴砂,酸蝕以及貼片表面酸蝕,超音波震盪,黏著,光聚合,咬合調整,所有步驟都在顯微鏡下完成。 ...... |
|
2015-11-08
顯微陶瓷貼片陶瓷貼片(bonding porcelain)改變了傳統根管治療後假牙的製作方式,以保留最多齒質的原則,也就是所謂minimal invasive(最少破壞)的治療方式,必須具備特殊材料和儀器 ...... |
|
2015-11-01
Direct bracket bonding system...... |
|
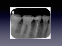
2015-10-20
顯微根管治療脫離傳統根管治療的憑手感治療方式,顯微鏡視野下操作優點 1.掌握牙髓腔立體型態,保留更多齒質下完成治療 2.看清楚神經孔入 清除所有牙髓 3.擴大沖洗可以看見清潔的神經管 ...... |
|
2015-10-20
顯微牙周病治療傳統牙周治療就是洗牙,牙齦下結石刮除術,最後就是手術.顯微牙周治療有以下優點: 1.顯微鏡視野下清楚定位結石位置,節省治療時間 2.減少牙周刮刀傷害牙根表面,影響牙周再生. 3.患者舒服,甚 ...... |
|
2015-10-15
顯微假牙治療過程使用顯微鏡進行假牙製作的優點: 1.移除舊牙冠時,鑽針不會磨到真牙。 2.所有進行步驟不會傷害牙肉, 3 .很清楚看見蛀牙深度 並且經由染色移除, 4. 邊緣(margin)很 ...... |
|
2015-09-27
相當有挑戰性的工作---顯微填補蛀牙蛀牙填補幾乎是每天牙醫師都要面臨的工作,可以說是很簡單也是很困難的治療。每位醫師都會的治療當然簡單,但要補的和自然牙一模一樣就非常困難,每位醫師養成背景和美學修養和設備環境都不同,很難要求 ...... |
|
2015-07-19
顯微鏡輔助下的牙周病治療----牙根整平術(SRP)根據統計百分九十的人罹患有牙周病,只是嚴重程度問題,百分之 七十的牙周病都可以非手術方式完成治瞭,除了最基本口腔衛生管理以及洗牙外,牙根整平術(SRP)是最有效治療牙周方式,但是要真的確實 ...... |
|
2015-07-17
矯正器種類和矯正醫師技術哪一項重要?每次初診矯正諮詢常被問過“戴蒙矯正器多少費用?”或是“醫師你有用LH矯正線嗎“。我啞口無言不知如何應對,我說美國大聯盟投手有人年薪千萬,也有年薪百萬,都 ...... |
|
2015-07-12
混合齒列期(Mixed dentition)的矯正治療小朋友換牙時期最常見齒列問題是前牙擁擠和錯咬,但恆牙剛萌發時期,牙根尚未發育完全,若太早矯正治療可能會傷害牙根發育,所以避免太早矯正來移動牙齒,一定要確認牙根發育完成。這是前牙錯咬的病例, ...... |
|
2015-07-09
以下是常見咬合不正 會有何不良影養?1.影響美觀和社交以及封閉心理 2.咀嚼功能 3.發音不清楚 4.增加蛀牙機率,因為不易清潔 5.不良牙齒磨耗,引發牙齒敏感 6.引發牙周病,口臭 ...... |
|
2013-09-25
牙醫顯微鏡的臨床應用應用牙科手術顯微鏡可以解決牙醫臨床很多問題,花費近七位數字的設備,受惠還是病患,本診所採用萊卡最新機型M320,目前是我每天必備工具,應用的臨床範圍如下: 1 根管治療尤其後牙(En ...... |

















